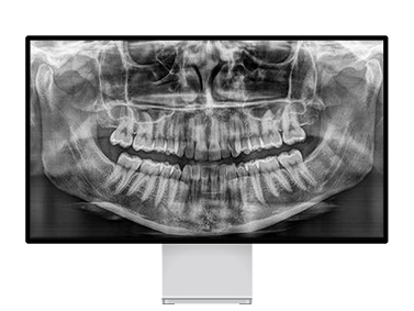
Un sistema panorámico ultracompacto, fácil de usar y con imágenes nítidas, ideal para necesidades panorámicas diarias.
La intuitiva interfaz de usuario está diseñada para facilitar la configuración del examen. Los ajustes están todos en la misma pantalla para agilizar el flujo de trabajo.

















